Before - Lakewood Dental After - Lakewood Dental

Case 13 - Align, Bleach & Bond (ABB)

Read More
Before - Lakewood Dental After - Lakewood Dental

Case 14 - Align, Bleach & Bond (ABB)

Read More
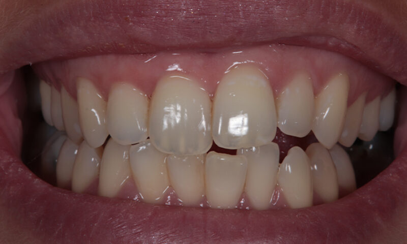
Before - Lakewood Dental After - Lakewood Dental

Case 15 - Align, Bleach & Bond (ABB)

Read More
Before - Lakewood Dental After - Lakewood Dental

Case 16 - Align, Bleach & Bond (ABB)

Read More
Smiling Woman with Bright White Teeth Composite Bonding - Lakewood Dental Case1A

Case 17 - Composite Bonding

Read More
Composite Bonding - Lakewood Dental Case2B Composite Bonding - Lakewood Dental Case2A

Case 18 - Composite Bonding

Read More

Get in touch

lakewood dental icon

“Under New Management - Really impressed with what the new dental team are trying to accomplish here, they seem really...”

Home - Google Review

lakewood dental icon

“Very professional and knowledgeable dentists who care about their patients and take the time to explain how to improve their...”

Leah W - Google Review

lakewood dental icon

“I've had a few treatments at this surgery, Mr Patel is very gentle and reassuring. He explained everything to me...”

Claire L - Google Review

lakewood dental icon

“I've been a patient of the old practice for 30 years and was with the old dentist. I saw Neel...”

Farideen A - Google Review

lakewood dental icon

“Had the best experience at Lakewood dental. I saw Nadia Riveros for my jaw fillers. I've had headaches and tension...”

Roshni Patel - Google Review

View Our Testimonials
healthy shape1

Invisalign® smile design

Digitally enhanced. Naturally worn.

Online Booking Learn More

Dental care you love

View Our Treatments
General Dentistry

General Dentistry

Looking after all your dental needs.

Dental Implants

Dental Implants

Book a dental implant consultation with us.

Cosmetic Dentistry

Cosmetic Dentistry

The art of great dentistry is here.

Treatment - Lakewood Dental

Invisalign®

Start your Invisalign®  journey today.

Treatment - Lakewood Dental

Denture Clinic

Expert dentures made by our Clinical Denture Technician

Treatment - Lakewood Dental

Facial Aesthetics

Rediscover a beautiful new you.

General Dentistry

General Dentistry

Looking after all your dental needs.

Dental Implants

Dental Implants

Book a dental implant consultation with us.

Cosmetic Dentistry

Cosmetic Dentistry

The art of great dentistry is here.

Treatment - Lakewood Dental

Invisalign®

Start your Invisalign®  journey today.

Treatment - Lakewood Dental

Denture Clinic

Expert dentures made by our Clinical Denture Technician

Treatment - Lakewood Dental

Facial Aesthetics

Rediscover a beautiful new you.

This error message is only visible to WordPress admins
There has been a problem with your Instagram Feed.
View Our Instagram
Google Rating
5.0
Google Rating
Google-review